

Hello,
Dr. Batman
Hello Doctor, Welcome!
Profile

Name: Batman
Email: batman@gotham.com
SURGERY REVIEW
(Total Questions - 441)Q.1. A 35-year-old patient presents with persistent redness and swelling of the finger. He has been taking Augmentin since 7 days. What would be the next step in management?
Correct Answer : B
Q.2. A 42-year-old woman presents with a painful breast mass measuring 4 cm in the upper outer quadrant, which increases in size during her menstrual period. On examination, tender nodularity is noted in both breasts. Initial conservative management (e.g., analgesics and reassurance) does not relieve her symptoms. What is the next step in management?
Correct Answer : A
The patient likely has cyclical mastalgia associated with fibrocystic breast changes, which is a benign condition. When conservative measures fail, hormonal therapy such as oral contraceptive pills can help by stabilizing hormonal fluctuations and reducing pain. Imaging or biopsy is reserved for cases with suspicious features (e.g., fixed mass, skin changes). Surgical excision is not indicated in benign cyclical mastalgia.
Q.3. What is the best investigation to visualize cystic breast masses?
Correct Answer : D
Breast ultrasound is the preferred imaging modality for evaluating cystic breast masses. It is highly effective at distinguishing between solid and cystic lesions, especially in younger women with dense breast tissue.
Q.4. Which of the following breast masses is commonly bilateral?
Correct Answer : B
Q.5. 36 year old female came in a surgical OPD clinic with a breast lump that is firm in consistency, mobile under the skin with no skin dimpling or tethering. She has observed lump varies in size with her menstrual cycle. What would be your advice to the patient?
Correct Answer : B
The lump's mobility, firm consistency, and variation in size with the menstrual cycle are characteristic of benign conditions. Monitoring the lump and a follow-up in 3 months is often sufficient unless the lump shows any concerning changes.
Q.6. Regarding the treatment of a breast cancer, which of the following statement is false?
Correct Answer : C
Q.7. What is the most important predisposing factor for the development of mastitis?
Correct Answer : B
Q.8. A 40-year-old woman presents with a breast cyst. Aspiration reveals green-colored fluid. What would be your next management step?
Correct Answer : C
Any color other than clear send to cytology.
Q.9. A 30-year-old female presents with a painless breast lump. Ultrasound reveals a cystic lesion. Aspiration of the lump yields clear fluid. What is your next step in management?
Correct Answer : C
The presence of a cystic lesion with clear fluid aspiration in a young woman (30 years old) is typically benign, likely representing a simple breast cyst.
Q.10. Which of the following statements is FALSE regarding breast cancer?
Correct Answer : C
Chemotherapy is not universally recommended for all early-stage breast cancers. The decision is based on several factors, including lymph node involvement, tumor size, tumor grade, and hormone receptor status. For example, a patient with a small tumor and negative axillary nodes may be managed with surgery and/or hormonal therapy without chemotherapy .
Q.11. Which of the following is TRUE regarding breast cancer screening ?
Correct Answer : D
Q.12. Regarding breast cancer in females under 35 years of age, all of the following are true EXCEPT?
Correct Answer : D
Q.13. Which of the following can cause breast enlargement?
Correct Answer : D
Q.14. A 45-year-old woman presents to your clinic for a routine check-up. She has no significant family history of breast or ovarian cancer but has a history of late menarche (at age 15), nulliparity, and long-term oral contraceptive use. Her BMI is 30 kg/m², and she has been on hormone replacement therapy (HRT) for menopausal symptoms for the past 3 years Which of the following factors is NOT associated with an increased relative risk of breast cancer?
Correct Answer : B
Prolonged reproductive age is a major predisposing factor.
Q.15. The following are appropriate methods for the treatment of inflammatory processes in the breast EXCEPT?
Correct Answer : D
Treatment - I&D in conjunction with antinbiotics .
Q.16. Which factor determines the recurrence of a breast cancer?
Correct Answer : B
Q.17. A 23-year-old female presents to her physician with a breast mass she noticed during a self-exam. The mass is located in the upper outer quadrant of her right breast, is 1 cm in diameter, mobile, firm, and non-tender. There is no axillary lymphadenopathy, skin dimpling, or nipple discharge. An ultrasound confirms the presence of a well-circumscribed, solid lesion. What is the treatment of choice for this condition?
Correct Answer : D
Case of fibroadenoma.
Q.18. A 35-year-old woman presents with complaints of breast tenderness and diffuse nodularity. On physical examination, a 3 cm tender, mobile mass is palpated in the right breast. No axillary lymphadenopathy or skin changes are noted. What is the next management step?
Correct Answer : C
Ultrasound is the imaging modality of choice in women under 40 due to denser breast tissue. It can differentiate between solid and cystic masses and guide further management.
Q.19. Which of the following is the initial management of breast engorgement?
Correct Answer : A
Q.20. A 50-year-old female with a history of recently diagnosed breast cancer undergoes routine tumor marker evaluation. Her CA-125 levels are found to be elevated. What is the most likely associated condition in this scenerio?
Correct Answer : B
CA125 --> tumor marker is mostly used for ovarian Ca, but it's also used with endometrial, fallopian, breast & GIT Ca.
Q.21. 13 year old girl presented in OPD due to mass in her left breast in lower outer quadrant. Patient denies any aggravating and relieving factors. Her menarche was at age of 12 years. On examination, it is a tender mass of about 2 cm in size. What is the most probable diagnosis?
Correct Answer : A
Q.22. Lady with 3 cm breast mass, solid, non tender, mobile, slightly increases in size during menses. What is the diagnosis?
Correct Answer : B
Fibrocystic changes occur due to the relation to hormonal changes.
Q.23. A 30-year-old woman, 3 weeks postpartum, presents with a painful, swollen, and red area on her right breast. She has fever and chills, and the breast feels warm to touch. She is breastfeeding her baby and is concerned about the infection. What is the most appropriate management for this patient?
Correct Answer : A
Q.24. 46 yr old female patient presented in OPD with a macular rash on the breast areola, she has been using topical corticosteroid since few days but condition is same as previous. No nipple discharge observed. What would be the most appropriate next step?
Correct Answer : C
Q.25. A 30-year-old female diagnosed with breast cancer presents with low hemoglobin and hematocrit levels. What should be the next step in management?
Correct Answer : A
After diagnosis - always do the staging of the cancer.
Q.26. Which of the following is the most appropriate treatment for Lactation mastitis?
Correct Answer : D
Q.27. Which of the following is the most appropriate treatment for cyclical mastalgia ?
Correct Answer : D
Q.28. A 30-year-old lactating woman, 10 days postpartum, presents with fever, malaise, chills, and a tender left breast. The breast is hot to touch, and she has a small nodule in the upper outer quadrant of the breast, along with an enlarged axillary lymph node. Her white blood cell count is 14 x 10?/L. What is the most likely diagnosis for this patient?
Correct Answer : B
Treatment - I&D
Q.29. 29 year old female has a breast lump in the upper outer quadrant of the left breast. On examination, it is a firm mass of 2 cm in size with no axillary lymph node involvement. What is the most likely diagnosis in this scenario?
Correct Answer : A
Q.30. Which of the following is the investigation of choice for fibroadenoma?
Correct Answer : D
Q.31. A 45-year-old woman presents to the clinic with nipple discharge that contains blood. She has no significant history of trauma or recent surgery. The discharge is unilateral and occurs spontaneously. There is no palpable lump or changes in the skin over the breast. What is the most likely diagnosis?
Correct Answer : A
Q.32. A 30-year-old breastfeeding woman presents with mastitis in the upper outer quadrant of her breast. Suggest the most suitable treatment for this woman.
Correct Answer : C
Q.33. Which of the following is the most common cause of nipple discharge in non-lactating women?
Correct Answer : D
The most common cause of galactorrhea is a tumor in the pituitary gland.
Q.34. When a patient with complaint of breast lump presents in an OPD, which of the following factors would make you discharge the patient without a follow-up appointment?
Correct Answer : D
Beingn disease and Reassurance to be done.
Q.35. Which of the following is the characteristic feature of benign breast mass?
Correct Answer : B
Q.36. Which of the following is the most suitable antibiotic for mastitis?
Correct Answer : B
Q.37. What should be the frequency for breast self-examination to screen for possible lump in the breast?
Correct Answer : C
After mentrual cycle.
Q.38. A 25-year-old female presents to your clinic and asks for guidance about breast self-examination (BSE). She wants to know the best time to perform the examination and how often she should do it. When is the best time for a 25-year-old female to perform a breast self-examination?
Correct Answer : C
Q.39. The following statements about adjuvant multi-agent cytotoxic chemotherapy for invasive breast cancer are correct EXCEPT?
Correct Answer : A
Q.40. A 46-year-old female presents with a painful mass 1 x2 cm in the upper outer quadrant of the left breast. There are areas of ecchymosis laterally on both breasts. There is skin retraction overlying the left breast mass. What is the most likely diagnosis?
Correct Answer : A
Q.41. A 50-year-old male presents with rectal bleeding that he noticed on toilet paper and sometimes in the toilet bowl. He describes the bleeding as bright red and painless. On physical examination, you find external hemorrhoids with no signs of infection or thrombosis. There is no palpable mass on digital rectal examination. What will be the most appropriate initial action?
Correct Answer : B
For external hemorrhoids without concerning signs like persistent bleeding or systemic symptoms, initial treatment often includes topical agents (e.g., hydrocortisone creams), dietary modifications (increased fiber intake), and warm sitz baths to alleviate symptoms.
Q.42. A 3 week old boy presented in neonatal clinic with a scrotal mass that is transparent & non reducible. What is the most probable diagnosis?
Correct Answer : A
Q.43. 60 year old male patient complains of progressive dysphagia, mostly to solid foods. The family has noticed weight loss also. He is a chain smoker and drinks alcohol. . What is the most likely diagnosis?
Correct Answer : A
Q.44. A 28-year-old male presents with acute scrotal pain and swelling for the past 6 hours. He reports one episode of vomiting and lower abdominal pain. On examination, there is a tender swelling in the scrotum, tender lymph nodes in the groin, and increased bowel sounds. His past medical history is unremarkable. What is the most appropriate management for this condition?
Correct Answer : B
The clinical features (acute onset scrotal pain, swelling, vomiting, abdominal pain, and tender lymph nodes) strongly suggest testicular torsion, a urological emergency. Surgical exploration is necessary to confirm the diagnosis and prevent ischemic damage to the testis. Time is critical; the testis must be detorsed and possibly fixed within 6 hours for optimal outcomes.
Q.45. 17 year old young male presented in emergency room with a severe abdominal pain that started periumbilical then became localized in the right iliac fossa. CBC showed high WBC count. What is the best step in the management?
Correct Answer : D
Q.46. A 26-year-old woman underwent a cholecystectomy for a perforated gallbladder. She now presents with right upper quadrant abdominal pain, which is tender on examination. She has a fever of 38°C, a pulse of 120 bpm, and her chest X-ray (CXR) shows a raised right hemidiaphragm. What is the most probable diagnosis?
Correct Answer : D
Q.47. A 52-year-old male presents to the emergency department with hematemesis. He reports a history of chronic alcohol use and heavy smoking. On examination, he appears pale, with a blood pressure of 90/60 mmHg and a pulse of 120 bpm. No abdominal tenderness is noted. What is the most likely cause of his hematemesis?
Correct Answer : D
Q.48. A 10 year old boy came to the ER with right scrotal pain and swelling. On examination: tender high riding right testis was observed with decreased blood flow on Doppler study. What is your most likely diagnosis?
Correct Answer : C
Q.49. An elderly woman had severe epigastric pain and then collapsed at home. In the ER, she is unconscious, her BP= 90/60, heart rate=180/min, and low volume pulse. What’s the most likely diagnosis?
Correct Answer : B
Q.50. Which one of the following is the most likely diagnosis of a pulsatile abdominal swelling?
Correct Answer : A
Q.51. All are complications of abdominal aortic aneurysm surgery, EXCEPT?
Correct Answer : C
Q.52. Which of the following is the most common sign of aortic aneurysm?
Correct Answer : A
Before rupture, an AAA may present as a large, pulsatile mass above the umbilicus. A bruit may be heard from the turbulent flow in a severe atherosclerotic aneurysm or if thrombosis occurs. Unfortunately, however, rupture is usually the first hint of AAA. Once an aneurysm has ruptured, it presents with classic pain, hypotension, and mass triad.
Q.53. Patient presented in emergency room with a severe sharp epigastric pain that is radiating to the back. He had repeated epigastric pain in the past. He is a chain smoker and drinks alcohol. What’s the most likely diagnosis?
Correct Answer : B
Q.54. Which of the following is the most accurate tool for the diagnosis of appendicitis?
Correct Answer : B
Q.55. 40-year-old male with a history of peptic ulcer disease has been using antacids regularly. He now presents to the emergency department with complaints of forceful vomiting over the past 2 days. The vomitus contains undigested food particles and occurs several hours after eating. He denies blood in the vomit or fever but reports a sensation of fullness and bloating after meals. On examination, there is mild epigastric tenderness, but no rebound tenderness or guarding. What is the most likely diagnosis?
Correct Answer : A
Q.56. An 8-month-old infant presents with a history of recurrent episodes of inconsolable crying, accompanied by vomiting and on-and-off jelly-like stools. The parents report that the child pulls their legs up toward their abdomen during these episodes. What is the most likely diagnosis?
Correct Answer : A
Q.57. A 45-year-old male with a history of paraplegia presents to the clinic with a pressure ulcer on his lower back. The ulcer measures 2x2 cm and reveals loss of both the epidermis and dermis, exposing a pink, moist wound bed. . The patient has no systemic symptoms such as fever. What is the stage of this pressure ulcer?
Correct Answer : B
Q.58. A patient came for paraplegia follow-up. He has a bed sore that involves skin and extends to fascia. What is the Grade of the lesion here?

Correct Answer : C
Q.59. An 80-year-old bedridden male is brought to the clinic by his caregiver for evaluation of a pressure ulcer on his buttock. The ulcer measures 2x3 cm and reveals visible muscle tissue at the base of the wound. There is no bone exposure or signs of systemic infection such as fever or chills. What is the stage of this pressure ulcer?
Correct Answer : C
Q.60. A 60 year old diabetic man presented with dull abdominal pain & progressive jaundice. On examination he had a palpable gallbladder. What is the most probable diagnosis?
Correct Answer : C
Q.61. A 48 year old woman presented in emergency room with a right abdominal pain, nausea & vomiting. On examination she has tenderness in the right hypochondrial region. Investigations showed high WBC count, high alkaline phosphatase & high bilirubin level. What is the most likely diagnosis?
Correct Answer : A
Q.62. Which of the following indicates large uncomplicated pneumothorax?
Correct Answer : D
To the opposite side.
Q.63. A 35-year-old male singer is diagnosed with colon cancer, stage B2 (Dukes classification). He is otherwise healthy and has no significant comorbidities. The cancer has invaded the muscularis propria but does not show evidence of lymph node involvement or distant metastasis. Which of the following is correct for his case?

Correct Answer : B
Q.64. For Colon cancer with stage 3, when should we initiate chemotherapy?
Correct Answer : A
Q.65. For Colon cancer stage 1, what is the 5-year survival rate?
Correct Answer : A
Q.66. Which of the following is the best suited surgical treatment option for stage III colon cancer?
Correct Answer : A
Q.67. When should the first colonoscopy follow-up be performed for a patient who had a colectomy for colon cancer?
Correct Answer : D
The American Cancer Society and National Comprehensive Cancer Network (NCCN) guidelines recommend that for patients who have undergone surgical resection for colon cancer, a follow-up colonoscopy should be performed 1 year after surgery to assess for any recurrence or new polyps, particularly if the patient has no high-risk features such as positive margins or a genetic predisposition.
Q.68. Patient had undergone colectomy for colon cancer. How often should he routinely do the follow up?
Correct Answer : D
Q.69. which of the folowing medication could help reduce the risk of colon cancer in this patient with a strong genetic predisposition?
Correct Answer : C
While folic acid may have some potential protective effects against colon cancer, aspirin remains the more well-established option for reducing colon cancer risk, especially in genetically predisposed individuals.
Q.70. Which vitamin has a protective effect against colon cancer?
Correct Answer : D
Q.71. Elderly male patient underwent colectomy for colon cancer in which micro-metastasis were detected in the lymph nodes. What is the best explanation?
Correct Answer : C
Q.72. Which of the following is a risk factor for developing colon cancer in young male?
Correct Answer : C
Gardener's syndrome
Q.73. About right-sided colon cancer, all symptoms are true except?
Correct Answer : C
Q.74. Risk factors for colon cancer include all of the following EXCEPT?
Correct Answer : D
Most hyperplastic polyps are small and are found on the left side of the colon and are not associated with an increased risk of colon cancer.
Q.75. Which one of the following is a high-risk factor for colorectal carcinoma?
Correct Answer : A
Q.76. 57 year old male patient came to OPD. He is a cigarette smoker for the past 28 years. Now, he presented with bleeding per rectum & positive guaiac test, also has Iron deficiency anemia. What is the most probable diagnosis?
Correct Answer : A
Q.77. All of the following are indications of chest tube placement in pneumothorax patients EXCEPT?
Correct Answer : D
Q.78. 27 year old patient complaining of back pain while walking. On examination there was a stiffness of the back muscle. What is the best effective treatment?
Correct Answer : A
Q.79. Thyroid cancer is associated with which of the following state?
Correct Answer : A
Q.80. When facial nerve exits the temporomandibular joint and enters the parotid gland, it passes through which of the following structures?
Correct Answer : C
It is the most lateral structure within parotid gland
Q.81. An old patient is present in your OPD with a positive occult blood in stool test report. What will be your next step ?
Correct Answer : B
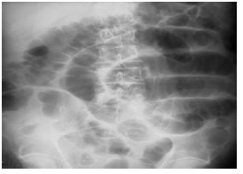
Q.82. A patient presented with severe constipation during his post- surgery follow-up. His X-ray abdomen is attached below. What is the most appropriate management for this patient?

Correct Answer : C
Q.83. 70 year old patient presented with weight loss, fatigue, anemia, recurrent upper quadrant abdominal pain. What is the most probable diagnosis?
Correct Answer : C
Q.84. A 58-year-old male presents with jaundice, weight loss, and persistent epigastric pain radiating to the back. He has a history of smoking for 30 years and a family history of pancreatic cancer. On examination, he has a palpable, non-tender mass in the upper abdomen, and his liver is slightly enlarged. Laboratory tests reveal elevated liver enzymes and bilirubin levels. What is the most likely diagnosis?
Correct Answer : C
Q.85. A 30 years old female patient presented in OPD with recurrent abdominal pain that started in the mid abdomen radiating to the back. No association with nausea, vomiting, meal, or diarrhea appreciated. examination was unremarkable except upper abdomen tenderness. What is the most likely diagnosis?
Correct Answer : A
Q.86. A 50 year old male patient presented in emergency room with recurrent upper abdominal pain, nausea, and vomiting. This abdominal pain usually radiates to the back. He smokes cigarettes for since 15 years. he brough test report of fecal fat that was positive. What is the initial diagnosis?
Correct Answer : B
Q.87. What is the next diagnostic step for acute pancreatitis?
Correct Answer : D
Typical acute pancreatitis case.
Q.88. Which of the following is the common complication of acute pancreatitis?
Correct Answer : B
Q.89. A 40 year old male drug addict and alcoholic of 25 years duration admitted with c/o significant weight loss and upper abdominal pain of three weeks duration. Examination reveals a mass in the epigastrium. His temperature is 99F and white cell count is 14,000. What is the most likely diagnosis?
Correct Answer : A
Q.90. In acute pancreatitis, which of the following is the most common risk factor?
Correct Answer : D
Q.91. 60 year old male is diagnosed as acute pancreatitis. What is the appropriate way to deliver nutrition to him?
Correct Answer : D
Q.92. Which of the following position aggravates acute pancreatitis symptoms?
Correct Answer : A
Relieves on bending forward.
Q.93. A 55-year-old male presents with severe epigastric pain that radiates to the back. The pain started after a heavy meal and has been worsening over the past 24 hours. He has associated nausea, vomiting, and fever. On examination, he is tachycardic, with tenderness in the upper abdomen, and Grey-Turner's sign and Cullen's sign are noted. His laboratory results show elevated serum amylase and lipase. He has a history of chronic alcohol use and gallstones. What is the most likely diagnosis?
Correct Answer : A
Q.94. Patient with terminal ovarian cancer came for post-surgery scans. The radiologist found a clamp in her abdomen. What is the next best step?
Correct Answer : B
Q.95. 43 year old female has sustained trauma to the chest and presented in emergency room with shortness of breath and cyanosis. On examination, breath sounds are absent on right side with hyper-resonant percussion note. What is the next best step in management?
Correct Answer : C
Tube thoracostomy
Q.96. 22-year-old boy presented in emergency room with sudden shortness of breath. On examination, breath sounds are absent on left side of the chest along with tracheal deviation towards the right side. What would be your next step of management?
Correct Answer : A
Q.97. A male patient presented with a gunshot wound on the right side of the chest. On examination, he is tachycardic, tachypneic along with reduced breath sounds on right side of the chest. He had distended neck veins and the trachea is shifted to the left side. How will you manage the case?
Correct Answer : A
Q.98. Patient involved in road traffic accident has sustained a membranous urethral injury. What would be an appropriate treatment?
Correct Answer : A
Suprapubic catheter with delay repair
Q.99. 30 years old female patient presented in OPD with tender red swelling in the right axilla with history of repeated black heads and large pored skin in the same area. What is the treatment of choice in this case?
Correct Answer : A
Q.100. A 50-year-old female presents with right upper quadrant pain that has been ongoing for 24 hours. She describes the pain as sharp and constant, with radiation to the shoulder. She has nausea, vomiting, and a low-grade fever. On examination, she has tenderness in the right upper quadrant, Murphy's sign is positive, and she has mild jaundice. Laboratory results reveal an elevated white blood cell count and liver enzymes. An abdominal ultrasound confirms the presence of gallstones and gallbladder wall thickening. What is the next step in the management of this patient?
Correct Answer : A
Q.101. A 16 year old female patient was brought to an ER due to road traffic accident. On examination, she was hypotensive with bilateral femur fracture. What would be your initial management for this patient?
Correct Answer : A
The correct answer is to start IVF (Low BP) until blood is ready start blood.
Q.102. A 35-year-old male presents with a painless, rapidly growing testicular mass. On physical examination, the epididymis is found to be normal. How will you proceed?
Correct Answer : B
Do US and see maybe its hydrocele or hernia.
Q.103. A 10-year-old boy presents with a mass on his upper back. The mass has a central punctum that releases a white, frothy material when compressed. The lesion is non-tender and the child is otherwise well. What is the most appropriate initial management for this patient?
Correct Answer : D
The described presentation is highly suggestive of an epidermoid cyst.
Q.104. What is the best diagnostic tool in acute diverticulitis?
Correct Answer : A
Q.105. 50 year old male complained of right iliac fossa dull aching pain. Examination showed that he had right iliac fossa mass with positive cough impulse. The examining doctor found a bluish tinge on the mass surface & the percussion test was positive. What is the most likely diagnosis?
Correct Answer : A
Cough impulse + - Inguinal hernia
Q.106. Young male in 20s came with groin swelling bulge on lifting heavy objects. No symptoms of obstruction on examination, diagnosed as right inguinal hernia. How will you manage?
Correct Answer : C
No obstruction - no urgency
Q.107. A 30 year old man presented in OPD with feeling of heaviness in the lower abdomen. On examination he had a small bulge palpable at the top of the scrotum that was reducible & increases with Valsalva maneuver. What is the most likely diagnosis ?
Correct Answer : A
Q.108. 24-year-old patient with asymptomatic congenital inguinal hernia. What is the treatment?
Correct Answer : C
Q.109. What is the location of an indirect inguinal hernia, in relation to the spermatic cord and inferior epigastric vessels?
Correct Answer : A
Indirect inguinal hernias protrude through the deep inguinal ring, which is located lateral to the inferior epigastric vessels.
Q.110. Regarding indirect inguinal hernia, all are true EXCEPT?
Correct Answer : A
Q.111. A 47-year-old man is brought to the emergency department with severe right-sided groin pain, persistent vomiting, and a firm, tender swelling in the inguinal region that cannot be reduced. His abdomen is distended, and he appears to be in significant discomfort. Regarding strangulated inguinal hernia, which of the following statements is INCORRECT?
Correct Answer : D
Q.112. An 68-year-old male presents to the emergency department with generalized abdominal pain, temperature=38.2°C, Absent bowel sounds ,X-ray findings= Dilated small bowel and part of the transverse colon and no fluid levels observed. What would be the possible diagnoses?
Correct Answer : A
Q.113. A 35-year-old construction worker is brought to the emergency department with a gunshot wound to his right triceps muscle sustained during a workplace accident. The initial wound was surgically cleaned and sutured in the emergency room. After 48 hours, the patient returns with increasing pain, localized swelling, and a purulent discharge from the wound site. His temperature is 38.5°C, and physical examination reveals significant tenderness around the wound. A wound gram stain is performed, revealing gram-positive organisms arranged in chains. Which of the following organism is most expected to be isolated in this case??
Correct Answer : C
Q.114. An 75-year-old male presents to the emergency department with generalized abdominal pain, persistent nausea, white blood cell count= 7,000/mm³, no focal tenderness. Regarding appendicitis in elderly patients, which of the following statements is MOST accurate?
Correct Answer : C
A ruptured appendix is a common complication due to frail nature of the bowel.
Q.115. A 17-year-old male athlete presents with chronic right foot pain. Pain is localized to plantar surface, he is active in high-impact sports. No history of acute trauma. Pain worsens with physical activity. Which of the following is the MOST likely diagnosis?
Correct Answer : A
Plantar fasciitis (heel spur syndrome).
Q.116. A 25-year-old competitive basketball player diagnosed with plantar fasciitis presents for comprehensive treatment. He reports persistent heel pain affecting his athletic performance and desires rapid recovery. Regarding the treatment of plantar fasciitis, which of the following statements is most accurate?
Correct Answer : C
Q.117. Regarding symptoms of appendicitis, which of the following is TRUE?
Correct Answer : D
Q.118. Which of the following is true regarding suspected acute appendicitis in a 70 year old person?
Correct Answer : D
Q.119. All of the following suggest acute appendicitis EXCEPT?
Correct Answer : D
Q.120. 17 year old boy presents with pain around the umbilicus since 10 hours. During transport to the hospital the pain has shifted to the hypogastrium and right iliac fossa. He has tenderness on deep palpation in the right iliac fossa. What is the most likely diagnosis?
Correct Answer : B
Q.121. Which of the following is the most sensitive test for defining the presence of an inflammatory focus in appendicitis?
Correct Answer : C
Q.122. Name the condition in which the obturator sign and psoas sign is positive?
Correct Answer : A
Q.123. What is the pathophysiology in Appendicitis?
Correct Answer : A
Gross images show exudate and hyperemia; opened with fecalith. Micro: mucosal ulceration; minimal (if early) to dense neutrophils in muscularis propria with necrosis, congestion, and perivascular neutrophilic infiltrate. Late-absent mucosa, necrotic wall, prominent fibrosis, granulation tissue, marked chronic inflammatory infiltrate in the wall, and thrombosed vessels.
Q.124. Which of the following is an important factor to consider while diagnosing a case of acute appendicitis?
Correct Answer : C
Q.125. Which of the following statement is TRUE regarding acute appendicitis in children?
Correct Answer : A
Q.126. Which of the following is the most common complication of appendicitis?
Correct Answer : B
Q.127. Which of the following medications can be used as a prophylaxis in appendectomy?
Correct Answer : A
Appendectomy requires broad-spectrum antibiotic coverage addressing both aerobic and anaerobic organisms due to the potential for polymicrobial contamination during surgical intervention.
Q.128. What is the peak age of acute appendicitis incidence among children?
Correct Answer : D
Q.129. What is TRUE regarding acute appendicitis?
Correct Answer : D
In the last few years, the incidence and mortality rate of this illness has markedly decreased.
Q.130. What is the mortality rate from uncomplicated acute appendicitis in the general population?
Correct Answer : B
Q.131. A 42 year old male patient presented in OPD with retrosternal chest pain. The barium swallow shows corkscrew appearance. What is the probable diagnosis?
Correct Answer : C
Cork screw - spasm
Q.132. A 25-year-old male presents to your clinic with a painless swelling in the testis that has been progressively enlarging over the past few months. He denies any history of trauma, pain, or associated symptoms like fever. Physical examination reveals a firm, non-tender mass confined to the testis. What is the most appropriate advice to give to the patient?
Correct Answer : A
Q.133. When a patient is admitted due to cholecystitis, at what time interval after admission should the patient ideally be scheduled for a cholecystectomy?
Correct Answer : B
Q.134. Which drug is contraindicated in acute cholecystitis?
Correct Answer : C
Q.135. Which one of the following is TRUE about Acalculous cholecystitis?
Correct Answer : D
Q.136. A 28-year-old male presents with a painless ulcer on his penis. The ulcer has rolled edges and has been present for the past two weeks. The patient denies any history of trauma or discomfort. He reports unprotected sexual activity with multiple partners in the recent past. No other systemic symptoms are reported, and there is no significant past medical history. What is the next step in the management of this patient?
Correct Answer : B
Syphilis case
Q.137. A 35-year-old male presents with a long-standing history of constipation. He reports sharp pain during and after defecation that subsides after 30 minutes. He also notices bright red blood on toilet paper after defecation. On physical examination, per rectal examination reveals a tender anal region with localized discomfort. What is the most likely diagnosis?
Correct Answer : B
Q.139. Hemorrhoids is usually associated with which of the following conditions?
Correct Answer : A
Q.140. What is the management for asymptomatic internal hemorrhoids?
Correct Answer : A
Q.141. A 56-year-old male presents with complaints of per rectal (PR) bleeding for the past few weeks. He denies any associated pain or systemic symptoms. On examination, external hemorrhoids are noted, with no signs of thrombosis or infection. What is the most appropriate management for this patient?
Correct Answer : D
The ideal investigation to be done in this situation is colonoscopy (50+ year old male)but of these choices, sigmoidoscopy is the most appropriate.
Q.142. What is the most common cause of chronic interrupted rectal bleeding?
Correct Answer : B
Q.143. A 42 year old male patient comes to you complaining of discomfort in anal area, constriction of anal sphincter, spots of fresh bright red blood after defecation , blood stains on toilet paper after using it. What do you suspect?
Correct Answer : B
Q.144. What is the management of fourth degree hemorrhoids?
Correct Answer : A
A - 4th
B - 3rd
C - 2nd
D - 1st
Q.145. A 68-year-old female presents with a 10-year history of hemorrhoids. She reports occasional discomfort but denies any complications such as significant bleeding, pain, prolapse, or thrombosis. She has no systemic symptoms and no history of recent exacerbations. What is the most appropriate next step in managing this patient?
Correct Answer : C
Q.146. What is TRUE regarding Painful piles?
Correct Answer : A
Q.147. A 55-year-old patient presents with rectal bleeding and is found to have external hemorrhoids on examination. Which of the following statements is TRUE regarding external hemorrhoids?
Correct Answer : A
External hemorrhoids generally do not cause pain unless they become thrombosed (blood clots form inside them). Rigid sigmoidoscopy is typically used to examine the rectum and sigmoid colon, but flexible sigmoidoscopy is more commonly used for broader visualization of the lower colon. External hemorrhoids originate from the inferior hemorrhoidal plexus, not the superior hemorrhoidal plexus (which is associated with internal hemorrhoids).
Q.148. A 45-year-old male presents with acute perianal pain that has been present for the past 2 days. On examination, there is a black, tender mass (2x3 cm) in the perianal region, which increases in pain with defecation. The patient also has a history of constipation and straining during bowel movements. What is the most appropriate treatment for this patient?
Correct Answer : A
The patient most likely has thrombosed external hemorrhoids characterized by an acutely painful black mass due to a blood clot.
Q.149. A patient is noted to have a 1-liter fluid deficit. This fluid deficit corresponds to which of the following?
Correct Answer : A
Q.150. A 35-year-old male worker falls from the 3rd floor to the ground. He is conscious but in significant pain. The immediate concern is his safety and any potential life-threatening injuries. What is the first step in the management of this patient?
Correct Answer : A
Q.151. A 17-year-old male with sickle cell anemia (SCA) presents with a history of biliary colic. An ultrasound reveals 9 stones in the gallbladder, with the largest measuring 2 cm, and a stone in the common bile duct (CBD). An ERCP has been performed to manage the CBD stone. What is the next step in the management of this patient?
Correct Answer : A
Q.152. Young healthy male comes for routine examination he is normal otherwise except asymptomatic enlarged thyroid gland. What is the next step in the management?
Correct Answer : C
Q.153. Patient presented with pulsatile abdominal mass. What is the first thing to do?
Correct Answer : A
Q.154. A 55-year-old patient presents with a neck swelling that moves with deglutition. The swelling is located in the anterior neck, is non-tender, and has been progressively enlarging over the past few months. The patient denies any pain, fever, or other systemic symptoms (picture is attached for reference).What is the most likely diagnosis?

Correct Answer : A
However, A & B both move with deglutition but in the picture its more likely goiter.
Q.155. When should the facial sutures be removed?
Correct Answer : B
The ideal is between 4-7 days.
Q.156. Diffuse abdominal pain “in wave like” pattern associated with vomiting is commonly seen in which of the following conditions?
Correct Answer : C
Q.157. Patient has presented in emergency room due to acute respiratory distress syndrome with tension pneumothorax. What's the most likely cause?
Correct Answer : B
Q.158. Which of the following is cost effective drug to decrease incidence of DVT post operatively?
Correct Answer : A
Q.159. An elderly patient presents with a history of fever, abdominal pain, and no bowel movements for 3–5 days, followed by a sudden gush of stool mixed with blood. On per rectal examination, blood-stained stool is noted. What is the next step in the management of this patient?
Correct Answer : C
Q.160. An anal fissure lasting more than 10 days is typically characterized by which of the following?
Correct Answer : B
Q.161. 45 year old female came to the ER complaining of right hypochondrial pain which increases with respiration. On Examination, there is tenderness over the right hypochondrium. What is the next appropriate investigation?
Correct Answer : B
Q.162. Patient with long history of Ulcerative colitis on endoscope sees polyp and cancer lesion on left colon. What is the management?
Correct Answer : B
Q.163. Patient diagnosed with obstructive jaundice. What is best diagnostic tool for common bile duct obstruction?
Correct Answer : A
Q.164. 80 year old male patient presented in OPD with complaints of right lower quadrant abdominal fullness, weight loss, irregular bowel habits & anemic. What is the investigation of choice for this case?
Correct Answer : A
Old age + anemia = possible GI malignancy
Q.165. Patient came with small neck swelling; moves when patient protrudes his tongue. What is the diagnosis?
Correct Answer : B
Q.166. Patient complains of right iliac fossa mass. What is the diagnosis?
Correct Answer : C
Unlikely to find mass in Appendicitis.
Q.167. Patient with heart disease presented with lower limb ischemia. What would be your advice?
Correct Answer : B
Q.168. Old patient with IHD complains of redness in lower leg since 2 months and diminished pulses in dorsalis pedis. The redness increases in dependent position and limb is cold, shiny with no swelling. What would be the probable diagnosis?
Correct Answer : A
Q.169. Patient with history of adult respiratory distress syndrome on ventilator, now develops pneumothorax. What is the most probable reason for pneumothorax in this patient?
Correct Answer : A
Q.170. 17 year old complaining of right iliac fossa pain, rebound tenderness, and guarded abdominal wall on palpation. Which of the following is a diagnostic step?
Correct Answer : A
Q.171. Patient had a car accident. Which of the following trauma he is likely to have?
Correct Answer : D
All of these are injuries from trauma.
Q.172. A young male patient presents in ER with polytrauma due to road traffic accident. Which of the following is the best way to maintain airway in a responsive patient?
Correct Answer : B
Q.173. A child has sustained a blunt trauma to the abdomen. Imaging has revealed a hematoma around the Duodenum. He is conscious with stable vitals. How will you manage this patient?
Correct Answer : C
Vitals stable - Admit, observe and keep a close watch.
Q.174. Patient came in ER due to a blunt trauma to the chest. While inspection of the chest, you found that one segment of the ribcage is withdrawn inside during inspiration and moves outward during expiration. What do you suspect?
Correct Answer : A
Treatment: O2, narcotic analgesia. Respiratory support, including intubation and mechanical ventilation.
Q.175. Patient with right upper quadrant abdominal pain, fever & sweating. On examination there is a tender hepatomegaly, and lab investigation shows positive amoeba. What is your diagnosis?
Correct Answer : B
Q.176. Diabetic patient is on a surgical list for next day. You are a on-duty doctor, so how will you schedule her insulin dose?
Correct Answer : D
Q.177. Diabetic patient went for an elective surgery for hernia repair. He has been fasting since midnight. FBS is 80mg/dl. How much insulin will you give him?
Correct Answer : D
Will be on a sliding scale in RBS level within normal then omit the dose.
Q.178. A purulent discharge is oozing through a surgical wound and you can visualize the internal organ through the wound. What is the most probable cause?
Correct Answer : A
Q.179. A 25-year-old male presents to the clinic with a feeling of a lump in his throat that has been persistent for several weeks. He reports occasional regurgitation of undigested food, mild dysphagia, and halitosis. The symptoms are most noticeable after eating large meals or lying down. There is no associated pain or significant weight loss. What is the most likely diagnosis?
Correct Answer : B
Q.180. Which of the following is the best management for Barrett's esophagus?
Correct Answer : A
Q.181. What is the management of the condition given in the picture below?

Correct Answer : B
Venous ulcer
Q.182. A patient presents with signs and symptoms suggestive of intestinal obstruction, including abdominal pain, vomiting, abdominal distension, and inability to pass stool or gas. What is the next best step in the management of this patient?
Correct Answer : A
Q.183. A 60-year-old female presents to the clinic with multiple painful ulcers on the medial aspect of her lower leg. The ulcers have been progressively increasing in size over the past few weeks. She reports redness and tenderness around the ulcers. There is a history of chronic venous insufficiency and varicose veins. On examination, the ulcers are shallow, irregular in shape, and surrounded by erythema and mild swelling. There is no evidence of fever or systemic symptoms. What is the most likely diagnosis?
Correct Answer : A
Q.184. Patient with 10 years history of GERD that didn't relieved with antacids, EGD done & showed Barrett’s esophagus & biopsy showed low grade dysplasia. What is the management?
Correct Answer : A
Q.185. Patient was taking anti-acids medications but now he develops more worsening abdominal pain especially when he is lying down. What will be your diagnosis?
Correct Answer : A
Q.186. A diabetic smoker patient presented in OPD with complaint of frequent cold feet. What is the diagnosis?
Correct Answer : A
Cold & shiny - Ischemia
Q.187. How to manage mechanical intestinal obstruction?
Correct Answer : D
Q.188. Patient has presented in ER with a complaint of constipation, vomiting, abdominal distension, with old scar in the lower abdomen. X ray showed dilated loops with air in the rectum. What is the best initial management?
Correct Answer : A
Q.189. Regarding intestinal obstruction, all are true except?
Correct Answer : A
Q.190. Patient presented in OPD with complaint of abdominal pain & constipation, and a history of intestinal surgery due to volvulus. Which investigation will you order next?
Correct Answer : C
Q.191. When is the wound considered free from infection?
Correct Answer : A
Q.193. After inflammatory phase of wound, how does the wound heal?
Correct Answer : C
Q.194. How does the vitamin C deficiency causes delayed wound healing ?
Correct Answer : A
Q.195. Which of the following is the best suited role of vitamin C in wound healing?
Correct Answer : A
Q.196. Regarding wound healing, which of the following is TRUE?
Correct Answer : C
Q.197. Regarding drainage of the abscess, which of the following is TRUE?
Correct Answer : A
Furuncle is a staphylococcal infection of a hair follicle or sebaceous gland with perifolliculitis, which usually proceeds to suppuration and central necrosis. Furunculosis: Multiple recurrent boils may occur in hairy areas, treatment --> Antibiotic. Carbuncle is an infective gangrene of the subcutaneous tissues caused by Staphylococcus aureus. It is especially common with diabetes, nephritis, and malnutrition.
Q.198. Patient sustained a abdominal blunt trauma and was suspected to have intra-peritoneal bleeding. In ER, patient is vitally stable. Which of the following is the most important diagnostic test in this scenario?
Correct Answer : A
Patient is stable to do CT
Q.199. Which of the following is related to blunt abdominal trauma?
Correct Answer : A
Q.200. Which of the following situation is an indication for Peritoneal lavage in a trauma patient?
Correct Answer : A
Indications for peritoneal lavage:
1) 10ml of blood or enteric contents (stool, food, etc.) in peritoneal cavity
2) More than 100,000 RBCs/mm3
3) More than 500 WBCs/mm3
4) Amylase more than 175 IU
5) Detection of bile, bacteria or food fibers.
Q.201. Regarding abdominal trauma, all are true EXCEPT?
Correct Answer : C
Q.202. A male patient was brought to an emergency department with a penetrating abdominal stab wound. During examination, his vitals are: HR 98bpm, BP 100/80mm Hg and RR 18 per minute. A part of omentum was protruding through the wound. What is the most appropriate next step?
Correct Answer : D
Q.203. Which of the following is an indication to do abdominal lavage in a road traffic accident case?
Correct Answer : A
Q.204. Which of the following is the most commonly affected organ in blunt abdominal trauma?
Correct Answer : B
Q.205. A 20-year old male unconscious patient was brought to an ER with a closed head injury. What is the first step to do?
Correct Answer : B
ABC protocol
Q.206. Which of the following is the best investigation for thyroid nodule?
Correct Answer : A
Initial step is TFT
If hyperthryoid - do not needle the nodule
Q.207. A 70-year old male patient presented in an OPD due to lymph node enlargement in mid cervical region. He consumes alcohol on regular basis since very long. What would be your diagnostic approach?
Correct Answer : C
Suspected Lymphoma, thus needle biopsy is needed if confirmed ==> excision
Q.208. A 50-year-old patient with a history of a high-output enterocutaneous fistula has been on total parenteral nutrition (TPN) for the past few weeks. Due to anemia, the patient received 2 units of packed red blood cells. Two hours after the transfusion, the patient became comatose and unresponsive. On examination, there are no signs of fever, rash, or hypotension. What is the most likely cause of the patient’s condition?
Correct Answer : B
Q.209. An elderly patient is admitted in ICU. Patient had a central venous line (CVL) for TPN. A doctor ordered to give 2 units of packed RBCs and the nurse gave it through CVL, after 2 hours patient became unconscious and comatose. What is the most common cause?
Correct Answer : B
Q.210. An elderly patient presents with a 2-day history of crampy abdominal pain, nausea, vomiting, and constipation. On examination, there is no abdominal tenderness. What is the most likely diagnosis?
Correct Answer : C
Q.211. A 2 months old infant with h/o vomiting after each meal, he is at 50th centile of growth chart. He had passed meconium within 1st 24 hours of life and stools are regular since then. What is the probable diagnosis?
Correct Answer : A
Q.212. A newborn baby was brought in an OPD with a reducible umbilical hernia. How will you counsel the parents?
Correct Answer : A
Q.213. A Pathology report of a thyroid nodule showed papillary carcinoma. What would be your next step for the management of this case?
Correct Answer : A
Q.214. Which of the following feature suggests that thyroid nodule is benign and not malignant?
Correct Answer : D
Q.215. A 48-year old man came in your OPD and complaining of right lower quadrant abdominal pain, bleeding per rectum, nausea & vomiting. What is the best diagnostic investigation?
Correct Answer : D
Q.216. A 6-month-old baby is brought to the clinic with undescended testes. Which of the following statements is TRUE regarding the management of this condition?
Correct Answer : A
Q.217. Which of the following is the most suitable treatment for undescended testis?
Correct Answer : A
Q.218. What is the Initial management for Frostbite condition?
Correct Answer : D
Q.219. Name a condition, shown in the picture below ?

Correct Answer : A
Q.220. Which of the following is the most common causative organism of pseudomembranous colitis?
Correct Answer : A
Q.221. What is the most common site for anal fissure ?
Correct Answer : B
Q.222. Patient complains of severe anal pain since 10 days. Which of the following is TRUE regarding the clinical condition?
Correct Answer : A
Anal fissure is the condition here.
Q.223. A 40-year old female with BMI >28. What would be your initial management plan?
Correct Answer : B
Q.224. A50-year old patient came in OPD with a history of weight loss, palpitation, cold preference and a firm neck swelling. What is the most likely diagnosis?
Correct Answer : C
Q.225. What is true about gastric lavage?
Correct Answer : C
Q.226. A 58-year-old male with a history of alcohol consumption and smoking presents with a firm, 3 cm mass at the right mid-cervical lymph node. What is the most appropriate next step in management?
Correct Answer : C
Q.227. A 20-year old male presented in ER due to a stabbed wound in the abdomen 1 hour before. What is the most appropriate treatment?
Correct Answer : A
Q.228. Regarding hepatocellular carcinoma (Hepatoma), Which of the following is TRUE?
Correct Answer : C
Q.229. A 30-year-old male patient presents to the emergency room with abdominal pain, constipation, and absent bowel sounds. The patient underwent appendectomy 2 days ago. On examination, his abdomen is distended, and there is no tenderness. He is otherwise stable but reports no bowel movements since the surgery. What is the most likely cause of his symptoms?
Correct Answer : A
Q.230. A 60-year-old patient who underwent gastrectomy is on postoperative day 1. He presents with a temperature of 38.8°C (101.8°F) and a pulse of 112 bpm. He is otherwise stable, but the patient is concerned about the cause of these symptoms. What is the most common cause of fever and tachycardia on postoperative day 1?
Correct Answer : B
Atelectasis (partial lung collapse) is the most common cause of fever in the early postoperative period, especially on post-op day 1.
Q.231. A 68-year-old female presents with pubic itching, bloody discharge, and has developed a pea-shaped swelling on her labia. She denies any trauma or recent infections. On examination, the swelling is tender but mobile. What is the likely diagnosis?
Correct Answer : A
Bartholin’s gland cyst and Bartholin’s abscess are closely related. The presence of itching and bloody discharge may occur if the cyst ruptures or becomes irritated, but the swelling would typically remain mobile and non-tender.
Q.232. A healthy female came to your clinic complaining of small mass in her vagina since 24 hrs. O/E there is cystic mass lesion, non tender, measuring 3 cm on her labia. What is the most likely diagnosis?
Correct Answer : A
Bartholin’s duct cyst: The most common large cyst of the vulva – Caused by inflammatory reaction with scaring and occlusion or by trauma – Asymptomatic, abscess – Marsupialization, excision. **Sebaceous cyst: The most common small cyst of the vulva – Resulting from inflammatory blockage of the sebaceous duct – Excision, heat, incision, and drainage.
Q.233. What is TRUE about Hypernatremia?
Correct Answer : A
Q.234. A 32-year-old woman presents to the OPD clinic with complaints of a non-fluctuant, tender cyst on her vulva. She reports that the pain occurs during coitus and walking. Upon examination, the swelling is firm and non-mobile, and it is diagnosed as a Bartholin cyst. What is the most appropriate treatment for this patient?
Correct Answer : C
Q.235. All of the following are signs & symptoms of Inflammatory bowel disease EXCEPT?
Correct Answer : B
Q.236. A 27-year-old female patient presents with abdominal pain, which initially began periumbilical and then migrated to the right lower quadrant. She also complains of anorexia, nausea, and vomiting. On examination, her temperature is 38°C, and she has tenderness in the right lower quadrant, but there is no rebound tenderness. Investigations show a slight elevation of WBC count, with otherwise insignificant findings. What is the best management for this patient?
Correct Answer : B
Q.237. A patient who underwent anterior-posterior repair (commonly for vaginal prolapse or cystocele/rectocele) 2 weeks ago now complains of urine passing through the vaginal opening during micturition. This is a new symptom, and the patient has not experienced such an issue before the surgery. What is the most likely diagnosis?
Correct Answer : A
Q.238. A known case of Diabetes mellitus presented to you with a diabetic foot. What is the antibiotic combination you would give?
Correct Answer : A
Q.239. A patient presents with a 3-day history of bleeding per rectum and pain after defecation. On examination, there is a mass at 3 o'clock on the perianal region. What is the most appropriate treatment for this condition?
Correct Answer : A
Q.240. A 25-year old man has right inguinal herniorrhaphy, on second day post-operative, he develops excruciating pain over the wound and has serous foul-smelling discharge. His temperature is 39C and his pulse rate is 130/min. A gram stain of the exudate shows numerous gram positive rods with terminal spores. What is the most important step in the management for this patient?
Correct Answer : D
Q.241. Complication of laparoscopic cholecystectomy are all of the following EXCEPT?
Correct Answer : D
Q.242. A 55-year old man came in OPD with a history of streaks of blood in stool and dull pain on defecation that persists for half an hour after defecation. On examination, there was a 3x2 cm thrombosed mass at 3 o’clock. What is the management?
Correct Answer : B
Q.243. What is the cause of shock in a patient with a pelvic fracture due to road traffic accident?
Correct Answer : A
Q.244. What is the most common site for visceral hemangioma?
Correct Answer : A
Q.245. A 15-year-old patient presents with a pilonidal sinus. What is the most appropriate treatment?
Correct Answer : A
According to the scenario; the initial treatment may involve cleaning and antibiotics, and surgery is the last option.
Q.246. An elderly male patient came in a OPD clinic with a complaint of bleeding per rectum & abnormal bowel habits. On examination, liver span was 20 cm. What is the next diagnostic step?
Correct Answer : A
Q.247. A 27-year-old female presents to the clinic with a sinus discharge from her right axilla. She reports that the discharge has been persistent for the past few weeks. No history of recent trauma or infection. On examination, there is a painful, tender, inflamed area with multiple small openings in the skin of the axilla, from which pus is draining. There is no fever or systemic signs of infection. What is the most likely diagnosis?
Correct Answer : C
Q.248. What is the most common cause of dysphagia to solid foods more than the liquid diet?
Correct Answer : A
Plummer vinson syndrome - Iron deficiency anemia + Glossitis
Q.249. What is TRUE about head and neck injury?
Correct Answer : C
Q.250. What is the percentage of benign tumors of the stomach?
Correct Answer : A
Benign tumors of the stomach are relatively rare, and they account for about 5-10% of all gastric tumors.
Q.251. What is the most common cause of non-traumatic subarachnoid hemorrhage?
Correct Answer : A
The most common cause of non-traumatic subarachnoid hemorrhage (SAH) is the rupture of a cerebral aneurysm. This accounts for approximately 85% of all cases of non-traumatic SAH.
Q.252. A 21 year old is involved in a head-on collision as the driver of a motor vehicle. He is noted to be severely tachypneic and hypotensive. His trachea is deviated to the left, with palpable subcutaneous emphysema and poor air entry in the right hemithorax. What should be the most appropriate initial management?
Correct Answer : D
Prior to any investigations
Q.253. A 45-year-old woman presents to the emergency department with a swollen, painful left leg that has been gradually worsening over the past three days. She denies any recent trauma but reports a history of prolonged immobilization during a long-haul flight last week. On examination, her left leg is tender, warm, and significantly larger in circumference compared to her right leg. What is the best diagnostic test to confirm the suspected diagnosis?
Correct Answer : B
Q.254. A 62-year-old male with a history of smoking and recent onset of diabetes presents with weight loss, jaundice, and epigastric pain. Imaging reveals a mass in the head of the pancreas. What is the most likely origin of pancreatic carcinoma in this patient?
Correct Answer : A
Q.255. Which of the following is the most lethal injury to the chest?
Correct Answer : B
Q.256. What is TRUE about Mallory-Weiss tear?
Correct Answer : C
Mallory-Weiss tear is a longitudinal mucosal tear that occurs in the region of the esophagogastric junction or proximal stomach, often caused by forceful retching, vomiting, or coughing.
Q.257. A 34-year-old male presents to the emergency department after sustaining a gunshot wound to the abdomen. On examination, part of his bowel is protruding through the wound, and signs of peritonitis are noted. You decide to initiate antibiotic therapy targeting Bacteroides fragilis as part of the management. Which of the following antibiotics is the most appropriate choice?
Correct Answer : D
Bacteroides fragilis is a common anaerobic bacterium found in the gastrointestinal tract. In cases of penetrating abdominal trauma or bowel perforation, anaerobic coverage is crucial.
Q.258. Which of the following is the lethal injury to the chest after motor accident?
Correct Answer : C
Q.259. A 40-year-old male presents to the emergency department with severe abdominal pain that started suddenly a few hours ago. He describes the pain as constant and worsening. On examination, he is lying still in bed, appearing distressed. His abdomen is tender to palpation with guarding and rigidity, and his respiratory pattern is observed to be altered. What type of respiration is commonly observed in a patient with an acute abdomen?
Correct Answer : A
In acute abdomen, severe pain and peritoneal irritation often lead to shallow and restricted breathing as the patient minimizes diaphragmatic and abdominal wall movement to avoid exacerbating the pain.
Q.260. What are the 2 tests that are the most specific in screening of a hepatocellular cancer?
Correct Answer : B
Q.261. A 20-year-old woman presents with a 2-month history of unexplained weight loss, heat intolerance, and increased irritability. She reports feeling anxious, having difficulty concentrating, and experiencing rapid heartbeats. On examination, she appears anxious, has a mild tremor in her hands, and her pulse is 110 beats per minute at rest. What is the most likely diagnosis?
Correct Answer : A
Q.262. In which group of people you will do lower GI endoscopy due to a presentation with iron deficiency anemia?
Correct Answer : C
Q.263. Fracture of rib can cause all of the following except?
Correct Answer : D
Q.264. What is the cause of free fluid accumulation in abdominal cavity?
Correct Answer : D
Q.265. A 30-year-old male presents to the emergency department after being involved in a polytrauma due to a motor vehicle accident. He is conscious but has multiple injuries, including a suspected fractured femur and lacerations. On examination, he is alert and oriented, but shows signs of shock with tachycardia and hypotension. What should be the initial management in this case?
Correct Answer : A
Q.266. A 45-year-old male is brought to the emergency department unconscious after a suspected drug overdose. His breathing is irregular, and he is not responding to verbal or painful stimuli. On examination, his pulse is weak, and he has shallow, irregular respirations. What should be the initial management of this unconscious patient?
Correct Answer : A
Q.267. A 50-year-old male is brought to the emergency department after being found unresponsive at home. On arrival, he is gasping and his breathing is irregular. His pulse is weak, and his skin appears pale and cool. The medical team is unsure of the cause, but the patient's airway is open. How should you manage this patient?
Correct Answer : A
Intubation may be needed if the patient does not improve with assisted ventilation, but the first step is to provide oxygen and ventilation support.
Q.268. What is TRUE regarding Mallory-Weiss tear?
Correct Answer : B
Q.269. A 45-year-old female presents with progressive jaundice 3 days after undergoing laparoscopic cholecystectomy. She reports that her initial recovery was uneventful, but she now has yellowing of the skin and sclera, dark urine, and pale stools. On examination, her liver is palpably enlarged, and she has mild tenderness in the right upper quadrant. What is the most appropriate investigation to diagnose the cause of progressive jaundice after laparoscopic cholecystectomy?
Correct Answer : A
Q.270. A 45-year-old male is brought to the emergency department 6 months after a road traffic accident (RTA), during which he sustained blunt trauma to the abdomen. He has a history of surgical resection of the distal small intestine and proximal colon due to previous trauma. He now presents with complaints of chronic diarrhea, shortness of breath, and fatigue. On examination, he has pallor and tachypnea, and his CBC shows megaloblastic anemia. What is the most likely cause of megaloblastic anemia in this patient?
Correct Answer : B
Q.271. A 35-year-old male is brought to the emergency department after being involved in a road traffic accident (RTA). He has multiple injuries, including blunt trauma to the abdomen, chest, and limbs, and a near-total amputation of the upper third of the left arm that is bleeding profusely. His blood pressure is 80/50 mmHg, indicating hypovolemic shock. What is the first step in the management of this patient?
Correct Answer : C
Follow ABC protocol
Q.272. A 30-year-old male is brought to the emergency department after sustaining trauma to his chest in a road traffic accident. He presents 2 hours after the incident with blood pressure of 100/70 mmHg, pulse of 120 bpm, and respiratory rate of 40 breaths per minute. His chest X-ray reveals a white lung field in the left hemithorax. What should be your next step in management?
Correct Answer : A
Q.273. A male patient with an infective cyst on limb presented in ER. Incision & drainage (I&D) was done, and dressing twice daily with gauze & saline was advised. On the 3rd day post I & D the patient developed nausea, confusion, hypotension & exfoliative rash on hands & he is passing dark brown urine. What is the most appropriate diagnosis?
Correct Answer : C
Q.274. A 52-year-old male patient, 6 days post-operative after closure of a colostomy, presents with swinging fever and complains of diarrhea. There is no significant change in his wound, but the patient is otherwise stable. What is the most likely diagnosis?
Correct Answer : A
An anastomotic leak is a serious complication that can occur after a colostomy closure, typically presenting within the first week post-surgery. This patient’s swinging fever (fever that fluctuates between high and low) and diarrhea are suggestive of an infection caused by the leakage of bowel contents into the peritoneal cavity, leading to peritonitis.
Q.275. Which of following mostly occurs in a patient with intracranial abscess?
Correct Answer : B
Q.276. A 62-year old male, Smoker, comes with painless mass on the lateral side of tongue. What is the probable diagnosis?
Correct Answer : B
Q.277. 25 year old female has a sore left great toe for the past 4 weeks. On examination, the lateral aspect of the left toe is erythematous and puffy, with pus oozing from the corner between the nail and the skin tissue surrounding the nail. This is the first occurrence of this condition in this patient. At this time, what should you do?
Correct Answer : C
Q.278. A 28-year old male comes to your office with a complaint of rectal bleeding with local burning and searing pain in the rectal area. The patient describes that he saw a small amount of bright red blood on the toilet paper. The pain is maximal at defecation and following defecation. The burning and searing pain that occurs at defecation is replaced by a spasmodic pain after defecation that lasts approximately 30 minutes. What is the likely diagnosis in this patient?
Correct Answer : D
Q.279. A 40-years old female presented to the clinic with central neck swelling which is moving with swallowing. The mass is hard in consistency and the patient gave a history of dysphagia. What you should do?
Correct Answer : A
Q.280. For anorectal abscess, all are true EXEPT?
Correct Answer : A
Anorectal abscess and fistulas (fistula-in-ano) represent different phases of a disease process that usually, in greater than 95% of cases, begins in the anal crypts and glands (Option D) of Inter-sphincteric space (Option C). If the infection spreads vertically upward, an intermuscular abscess within the rectal wall or a supralevator abscess may develop, depending on which side of the longitudinal muscle the infection has tracked. These abscesses are difficult to diagnose because the patient may complain of vague discomfort and external manifestations are absent; the presence of rectal induration and swelling may be clearly established only with the aid of an examination under anesthesia (Option B).
Abscesses should be drained when diagnosed. Simple and superficial abscesses can most often be drained under local anesthesia in the office setting in patients who are otherwise healthy. Patients who manifest systemic symptoms, those who are immunocompromised for any reason (including AIDS, diabetes, cancer therapies, or chronic medical immunosuppression), and those with complex complicated abscesses are best treated in a hospital setting. An intersphincteric abscess is drained by dividing the internal sphincter at the level of the abscess.
Q.281. A 65-year-old male patient with a history of smoking and hypertension presents with severe pain in his right leg that has gradually worsened over the last 24 hours. He reports coldness, pallor, and a numb feeling in the leg. Upon examination, his right leg is pale, cold, and there is absence of pulse in the dorsalis pedis and posterior tibial arteries. What is TRUE regarding ischemic leg?
Correct Answer : D
Q.282. For Acute cholangitis, all are true EXCEPT?
Correct Answer : C
Q.283. Which of the following indicate strangulation of gut?
Correct Answer : B
Strangulation refers to the compromise of blood flow to the bowel due to a mechanical obstruction (such as in hernias or intestinal volvulus), leading to tissue ischemia and potentially necrosis.
Q.284. What is the best method for temporary control of bleeding?
Correct Answer : C
Q.285. For indications of tracheotomy, all are true EXCEPT?
Correct Answer : B
Q.286. What is the most effective monitoring method in a patient with acute bleeding ?
Correct Answer : C
Q.287. A 35-year-old male smoker presents with a white patch on his tongue that has been present for a few weeks. He has no pain or discomfort associated with it. On examination, the patch is non-scrapable and is located on the lateral border of the tongue. The patient has a history of smoking for the past 10 years. What is the most appropriate management for this patient?
Correct Answer : D
Q.288. 2 years old boy has rectal pain, bleeding with perianal itching and constipation for last 3 days. Physical examination revealed a perianal erythematous rash which extend 2 cm around the anal ring. What is the most likely Diagnosis?
Correct Answer : D
Perianal streptococcal dermatitis is a bright red, sharply demarcated rash that is caused by group A beta-hemolytic streptococci. Symptoms include perianal rash, itching, and rectal pain; blood-streaked stools may also be seen in one-third of patients. It primarily occurs in children between six months and 10 years of age and is often misdiagnosed and treated inappropriately. A rapid streptococcal test of suspicious areas can confirm the diagnosis. Routine skin culture is an alternative diagnostic aid. Treatment with amoxicillin or penicillin is effective. Follow-up is necessary because recurrences are common.
Q.289. Smoking is directly related to which type of cancer?
Correct Answer : C
Q.290. What is the percentage of re-infarction in patients undergoing a non-cardiac surgery?
Correct Answer : B
Q.291. What is TRUE regarding Gastric aspiration?
Correct Answer : D
Q.292. What is TRUE about the inguinal canal?
Correct Answer : A
Q.293. Below the inguinal ligament, Which relation of the femoral artery is correct?
Correct Answer : A
Q.294. In the inguinal region, the integrity of an abdominal wall requires which of the following structures to be intact?
Correct Answer : A
Q.295. Complications of a colostomy are all of the following EXCEPT?
Correct Answer : A
Q.296. A 45-year-old male presents to the emergency department with a history of abdominal pain, fever, nausea, and vomiting for the last 24 hours. On examination, the patient has rigid abdominal muscles, rebound tenderness, and guarding. His vital signs show fever (38.5°C), tachycardia, and hypotension. His white blood cell count is elevated. Which of the following is TRUE regarding peritonitis?
Correct Answer : A
Q.297. What is TRUE regarding peritonitis?
Correct Answer : B
Q.298. A young male presents to the emergency department with a complaint of severe abdominal pain. The pain is so intense that the patient is lying in a still position, unable to straighten up. On examination, signs of peritonitis are evident, including rigid abdomen, guarding, and rebound tenderness. His vital signs are also abnormal, with fever and tachycardia. What is the initial investigation of choice t in this patient?
Correct Answer : D
While a CBC can show signs of infection (such as leukocytosis), it does not provide enough information to diagnose the cause of peritonitis. It is supportive, but imaging (such as CT scan) is needed to determine the cause.
Q.299. Stress ulcers can be found in all EXCEPT?
Correct Answer : D
Q.300. A 35-year-old male presents with a painful, swollen index finger after an injury at work. The patient reports difficulty in moving the finger and has noticed increasing redness and warmth around the affected area. The physician is considering different treatment options. Which of the following should NOT be used in the management of an infected index finger?
Correct Answer : C
Q.301. Among the causes of Portal HTN, which of these will cause the least hepatocellular damage?
Correct Answer : A
Q.302. Varicose veins affects all the following EXCEPT?
Correct Answer : C
Q.303. All of the following are true regarding laparoscopic cholecystectomy, EXCEPT?
Correct Answer : B
Q.304. Regarding laparoscopic cholecystectomy, all of the following statements are correct EXCEPT?
Correct Answer : B
Q.305. What is the key pathology of venous ulceration?
Correct Answer : B
Q.306. An elderly lady presents to the emergency department with a 3-day history of a perforated peptic ulcer. On arrival, she is semi-comatose, dehydrated, and febrile. Examination reveals signs of peritonitis and sepsis. What is the appropriate management for this patient?
Correct Answer : B
Q.307. Patient came in OPD with multiple neck swellings, as shown in the picture below. On examination, no organomegaly or lymphadenopathy. What is the most probable diagnosis?

Correct Answer : B
Q.308. A 40-year-old patient presents with a swelling at the base of the mouth under the tongue. The swelling is painless, soft, and has been gradually increasing in size. On examination, the lesion appears to fluctuate and is causing difficulty in swallowing and speech. What is the most likely diagnosis?

Correct Answer : A
Q.309. A 65-year-old male presents with a 2-day history of vomiting and constipation. Abdominal X-ray shows dilated bowel loops with three air-fluid levels and air in the rectum. On examination, the abdomen is distended but soft, and there is no peritonitis. What is the next step in management?
Correct Answer : B
Q.310. What is the best management for acute cholangitis?
Correct Answer : A
Q.311. A 45-year-old patient presents with a painful swelling in the submandibular region, which worsens during meals. On examination, the swelling is tender, firm, and non-fluctuant. There is no fever or erythema. What would be your first investigation?
Correct Answer : D
Q.312. Patient presented to you with complains of left submandibular pain and swelling when eating. O/E, there is enlarged, firm submandibular gland. What is the most likely diagnosis?
Correct Answer : D
Q.313. Which of the following antibiotics can be used in preoperative period?
Correct Answer : A
Q.314. Name the sign seen in a x-ray abdomen of a patient with duodenal obstruction?
Correct Answer : A
Q.315. An 80-year-old male presents with right iliac fossa pain, fever for 2 days, and diarrhea. On examination, he has tenderness in the right lower quadrant. A CT scan reveals thickening of the intestinal wall, suggestive of possible colitis or localized inflammation. What is the next step in management?
Correct Answer : A
The presentation is consistent with an infectious or inflammatory cause, such as infective colitis, ischemic colitis, or mild diverticulitis, all of which can present with intestinal wall thickening on CT and symptoms like diarrhea, fever, and pain.
Q.316. Which of the following statement is TRUE about hiatus hernia?
Correct Answer : C
Q.317. An elderly patient presents with right lower quadrant (RLQ) fullness, weight loss, change in bowel habits, and anemia. On examination, the patient is pale and has no acute abdominal tenderness. What is the investigation of choice?
Correct Answer : A
Q.318. The greatest risk of developing chronic hepatitis and cirrhosis occurs after which of the following infection?
Correct Answer : C
Q.319. A 45-year-old male presents with abdominal pain, distension, and constipation. He has a history of abdominal surgery for intestinal perforation many years ago. On examination, his abdomen is distended with hyperactive bowel sounds. What is the best investigation in this case?
Correct Answer : D
The clinical scenario suggests intestinal obstruction, likely due to adhesions from previous abdominal surgery.
Q.320. A 30-year-old male presents with acute symptoms of bloody diarrhea, abdominal pain, and tenesmus. After evaluation, he is diagnosed with acute ulcerative colitis. What is the initial treatment for this patient?
Correct Answer : A
Acute cases / flare ups - Steroid therapy
Q.321. A 30-year-old female presents with a 6-month history of diarrhea, predominantly bloody, and some weight loss. On sigmoidoscopy, you find fragile mucosa with bleeding. What is the most likely diagnosis?
Correct Answer : C
Q.322. A 28-year-old patient presents with diarrhea for 5 weeks, with positive occult blood on PR examination and blood in stool. Colonoscopy shows involvement from the rectum to the mid-transverse colon. Biopsy shows crypt abscesses without epithelial ulceration. What is the most likely diagnosis?
Correct Answer : B
Q.323. Which of the following is TRUE regarding Crohn’s disease?
Correct Answer : B
Q.324. A 30-year-old man with a long history of Crohn’s disease presents with increased symptoms despite medical therapy. What is the indication for surgery in this patient?
Correct Answer : A
Q.325. A 30-year-old male with a long history of Crohn's disease presents to the clinic complaining of pain, swelling, and drainage of pus from a lesion near the anus. The patient has a known history of inflammatory bowel disease and has been experiencing episodes of bloody diarrhea, weight loss, and abdominal pain for the past several years. Upon examination, a fistula-in-ano is noted. What is the next step in managing this patient?
Correct Answer : D
External fistula
Q.326. What is the Pathophysiology of Crohn's disease?
Correct Answer : A
Q.327. What is not true about Crohn’s disease ?
Correct Answer : D
Q.328. Regarding Crohn's disease, which one of the following is TRUE?
Correct Answer : C
Q.329. What is the most common indication for surgical intervention in inflammatory bowel disease?
Correct Answer : D
And fistula. But Obstruction is the common cause.
Q.330. A 37-years old female patient came in OPD after 2 weeks of cholecystectomy with a complaint of unilateral face swelling and tenderness. Past history of measles when he was young. On examination moist mouth, slightly cloudy saliva with neutrophil and band cells. Culture of saliva wasn't diagnostic. What is the diagnosis?
Correct Answer : C
Measles is a risk factor to develop parotid gland swelling and infection, due to stone in the Stensen duct.
Q.331. Regarding screening of cancer, which of the following is TRUE?
Correct Answer : D
Q.332. What is the percentage of water in a human body?
Correct Answer : B
Q.333. A 35-year-old female presents with a history of on-and-off abdominal pain for the past few months. The pain is usually in the right upper quadrant, lasts for a few hours, and resolves spontaneously. She also reports occasional nausea and bloating, especially after fatty meals. On examination, the patient is afebrile, with no signs of jaundice. The abdomen is soft, with mild tenderness in the right upper quadrant, but no signs of peritonitis or rebound tenderness. Investigations: Ultrasound of the abdomen reveals multiple gallstones, with the largest stone measuring 1 cm. There is no ductal obstruction or signs of cholecystitis. What would be your next step?
Correct Answer : B
Q.334. A lady presented with perforated peptic ulcer in an emergency room. She urgently needs a surgery. Her INR is 5. What will be the therapeutic measure to control INR?
Correct Answer : C
Q.335. Which of these diseases are predisposing to gastric cancer?
Correct Answer : D
Q.336. All statements are correct about papillary thyroid carcinoma EXCEPT?
Correct Answer : B
Q.337. Papillary carcinoma of the thyroid gland is characterized by all of the following EXCEPT?
Correct Answer : D
Q.338. Regarding complications that may be associated with thyroidectomy. Which of the following statement is correct?
Correct Answer : B
Q.339. What is TRUE regarding Femoral hernia?
Correct Answer : B
Q.340. Inflammatory bowel disease is usually idiopathic but which one of the following is a possible underlying cause?
Correct Answer : A
Q.341. What is meant by number 20 French(Fr) urinary catheter?
Correct Answer : D
A 20 French (Fr) urinary catheter refers to the size of the catheter, where the term "French" is a unit of measurement for the diameter of medical tubes, including urinary catheters.
- The French (Fr) scale is used to describe the outer diameter of the catheter.
- 1 French (Fr) is equal to 1/3 mm of diameter.
- So, a 20 French catheter has an outer diameter of approximately 6.67 mm (20 ÷ 3).
Q.342. The incidence of surgical infection is reduced with which of the following measure?
Correct Answer : A
Q.343. A 48-years old man with pyloric stenosis presents with severe vomiting. There is marked dehydration, and the urine output is 20 ml/hour. On Lab Investigations; HCT=48, BUN=64mg, Cr= 1.2 mg/dl, pH= 7.5, HCO3= 33mEq/l, Cl=70 mEq/l, and K=2.5 mEq/l. What is the electrolyte abnormality?
Correct Answer : B
Q.344. Postoperative adhesions are the most common cause of small bowel obstruction. Choose the TRUE statement about postoperative adhesions?
Correct Answer : C
Q.345. What is TRUE regarding Carcinoma of the colon?
Correct Answer : A
Q.346. Which of the following disease is NOT frequently associated with pyogenic liver abscesses?
Correct Answer : C
Q.347. A 45-year-old woman is brought to the emergency department with a 3-day history of fever, tachycardia (heart rate 150 bpm), agitation, and confusion. She has a known history of hyperthyroidism and has been non-compliant with her medication. On examination, she is febrile (39°C), has a tremor, and is sweating profusely. Her blood pressure is 160/90 mmHg, and she is visibly anxious and restless. Laboratory investigations reveal a markedly elevated thyroid hormone level (T3 and T4), with a suppressed TSH. Given this clinical picture of thyroid storm, which of the following treatments is NOT appropriate in the management of this patient?
Correct Answer : C
Q.348. What is the common cause of immediate death in a burn injury?
Correct Answer : A
Q.349. A 45-year-old man presents with a 3-day history of vomiting, constipation, abdominal pain, and distension. He has a past medical history of appendectomy performed 5 years ago. On examination, his abdomen is distended, and bowel sounds are absent. X-ray of the abdomen shows air-fluid levels, and the patient is dehydrated. What is the most likely diagnosis?
Correct Answer : A
Q.350. A 50-year-old female presents with elevated serum calcium levels without hypercalciuria. She is asymptomatic, but her routine blood tests reveal hypercalcemia. She does not report any significant symptoms such as kidney stones, bone pain, or fatigue. On further investigation, her urine calcium levels are normal. Which of the following tests is almost always diagnostic of primary hyperparathyroidism?
Correct Answer : C
Q.351. A 55-year-old male undergoes a parathyroidectomy due to a benign parathyroid adenoma. Post-surgery, the patient develops hypoparathyroidism with symptoms of tetany, muscle cramps, and tingling in his fingers. His laboratory results show low serum calcium levels and an elevated serum phosphate level. What is the most appropriate treatment for hypoparathyroidism in this patient?
Correct Answer : A
Q.352. Which of the following liver tumor is often associated with oral contraceptive agents?
Correct Answer : B
Q.353. Lymphoedema is diagnosed most effectively by which of the following?
Correct Answer : C
Q.354. A 48-years old male patient is admitted to the hospital with acute pancreatitis. Serum amylase concentration is 5400 IU/L. He is complaining of severe generalized abdominal pain and shortness of breath. He is hemodynamically stable after intravenous fluid infusions over the first 6 hours. Which one of the following is the least significant indicator of disease severity in acute pancreatitis during the first 48 hours?
Correct Answer : C
Q.355. The single blood test performed by a laboratory that would be expected to be the most sensitive for determining whether the patient is euthyroid, hypothyroid or hyperthyroid is?
Correct Answer : D
Q.356. A 45-year-old female with a known history of hypothyroidism is started on levothyroxine for treatment. One week later, she presents with complaints of cold intolerance, bradycardia, and fatigue. Her lab results show an elevated TSH level. What is the most appropriate next step?
Correct Answer : A
It takes 4-6 weeks for the thyroid meds to work.
Q.357. What is the most common cause of hypercalcemia in a hospitalized patient?
Correct Answer : D
The most common cause of hypercalcemia in hospitalized patients is malignancy, particularly lung cancer and breast cancer.
Q.358. What is the most common cause of dysphagia in adults?
Correct Answer : D
Q.359. What is the most common cause of esophageal perforation?
Correct Answer : D
Q.360. Which of the following is the most potent known stimulator of gastric acid secretion?
Correct Answer : B
Q.361. What is the most common complication of Meckel's diverticulum among adults?
Correct Answer : C
Q.362. What does the barium study indicate? (picture is attached below)

Correct Answer : A
Q.363. Complications following pancreatitis may include all of the following EXCEPT?
Correct Answer : D
Q.364. Regarding infection in the finger bulb, all are true EXCEPT?
Correct Answer : B
Q.365. A 25-year-old female patient is admitted for an upper respiratory tract infection (URTI). On admission, her blood pressure is 120/90 mmHg. After 7 days, she develops acute abdominal pain and tenderness on examination. Over time, she becomes pale, sweaty, and hypotensive with a blood pressure of 90/60 mmHg. What is the next best step in management?
Correct Answer : B
Q.366. A 35-year-old female patient presents with a firm, large, and lobulated swelling in her neck. She has a history of fatigue, weight gain, and cold intolerance. Laboratory results show positive antibodies against thyroid peroxidase. What is the most likely diagnosis?
Correct Answer : A
Q.367. A 30-year-old female patient with a known history of Ulcerative Colitis presents with red, tender nodules on the anterior surface of her shin. These nodules are firm and painful to the touch. What are these nodules called?
Correct Answer : A
Q.368. A 45-year-old male presents in OPD with a mid-cervical mass. The patient has no history of recent infections, fever, or significant weight loss. The mass is non-tender, firm, and has been present for several weeks. What should be the next step?
Correct Answer : D
Q.369. A 40-year-old female presented in OPD clinic with a solitary thyroid nodule detected during a routine physical examination. The nodule is firm and non-tender. There are no associated symptoms such as pain or difficulty swallowing. What is the most definitive test to evaluate this thyroid nodule?
Correct Answer : B
Initial test - TFT
Q.370. How IV fluids are administered in burn patients?
Correct Answer : A
Parkland formula “fluid requirement = TBSA(%) x Weight (Kg) x 4ml”. Give half of the total requirement in the 1st 8 hours, then give 2nd half over the next 16 hours).
Q.371. What is the first test that should be performed in a patient with lower GI bleeding?
Correct Answer : D
Q.372. A 30-year-old male presented in an emergency room with mixed first- and second-degree burns involving the head and neck region following a fire accident. The patient is conscious, with visible redness, blistering, and swelling in the affected areas. The burns cover an estimated 15% of the total body surface area (TBSA). What is the next best step in the management of this patient?
Correct Answer : A
Q.373. A 28-year-old female presents with back pain and a red, painful rash on her chest after using a tanning bed. On examination, the skin over her chest is red, blanching, and painful. There are no blisters or significant swelling. The patient reports that the pain started shortly after the tanning session. What is the most likely diagnosis?
Correct Answer : A
Q.374. A Fireman came to ER with 1st and 2nd degree burns on face and neck, Estimated burn area is around 5% with blisters. What will you do next?
Correct Answer : B
Q.375. A burn patient is treated with Silver Sulfadiazine, the toxicity of this drug can cause which of the following?
Correct Answer : B
The use of sulfonamides has been associated with hematologic toxicity, including methemoglobinemia, sulfhemoglobinemia, leukopenia, granulocytopenia, eosinophilia, hemolytic anemia, aplastic anemia, purpura, clotting disorder, thrombocytopenia, hypofibrinogenemia, and hypoprothrombinemia.
Q.376. A 70 kg male patient with 40% total body surface area (TBSA) burns and inhalation injury was brought in an ER. What is the fluid resuscitation that should be initiated for this patient?
Correct Answer : C
Q.377. Regarding Inhalation injury in burns, all are true EXCEPT?
Correct Answer : D
Q.378. A 45-year-old male is brought to the emergency room in a comatose state. On examination, his skin appears reddish, and he has no significant history of trauma or recent illness. His vital signs show a blood pressure of 90/60 mmHg, pulse of 120 bpm, and respiratory rate of 20 breaths per minute. What is the most likely cause of this patient's condition?
Correct Answer : A
Cherry-red skin = CO poisoning.
Q.379. Which of the following breast disease is bilateral?
Correct Answer : A
Q.380. A 30-year-old male is brought to the emergency room after a road traffic accident. He is conscious and responsive but complains of multiple injuries, including bruising on the chest and abdomen, and has difficulty moving his left leg. His vital signs show a blood pressure of 110/70 mmHg, pulse of 95 bpm, and respiratory rate of 18 breaths per minute. What is the initial management for a responsive patient with multiple injuries in the emergency room?
Correct Answer : A
Q.381. Which of the following is TRUE regarding inhalation injury?
Correct Answer : D
Q.382. What is the first step in mild burns?
Correct Answer : A
Q.383. Female presented in ER with HCL acid burn on her face. It was partial thickness burn. What is the most appropriate management?
Correct Answer : A
Q.384. A middle-aged male presents with a gunshot wound to his femur. Upon exploration, you find a 5 cm injury to the superficial femoral artery. The patient is conscious and complains of pain, with some bleeding from the site. His vital signs are stable, but you are concerned about potential vascular injury. What is the most appropriate initial management?
Correct Answer : C
Q.385. A 35-year-old male presents to the emergency department after a road traffic accident (RTA) with a femur fracture. On examination, you note a laceration over the femoral artery with active bleeding. The patient is conscious but in significant pain, and his blood pressure is 90/60 mmHg. His heart rate is elevated, and there is swelling and deformity of the left thigh. What is the next best step in the management ?
Correct Answer : D
The best initial step involves administering intravenous fluids to stabilize the patient and preparing for emergent surgery. Surgical repair or ligation of the femoral artery is required to control bleeding and restore circulation.
Q.386. Which rule is used to calculate burn surface area in case of burns?
Correct Answer : A
Rule of 9.
Q.387. What is the cause of death in flame burns?
Correct Answer : A
Q.388. A 30-year-old male presents to the emergency department after accidentally spilling boiling water on his forearm while cooking. On examination, the affected area shows swelling, redness, and warmth, but there are no blisters present. The patient reports pain at the site. The skin appears intact, but the area is tender to touch. What is the most likely diagnosis for the burns described in the scenario?
Correct Answer : B
Q.389. What is a partial thickness burns?
Correct Answer : A
Q.390. Which of the following regarding burn injury is TRUE?
Correct Answer : D
Q.391. For 15-24 year old males, the most common etiology for thermal injury involves which of the following?
Correct Answer : A
Q.392. When a burn injury involved three layers of the skin, what is it called then?
Correct Answer : B
Q.393. Patient had sustained burns from hot oil in the right side of his arm and leg. He came to your OPD, when will you refer him to a burn specialist?
Correct Answer : C
Q.394. You are working in ED and a patient came with mild burns at the face and neck area. What would be your next step?
Correct Answer : A
Remember burns on the face necessitate admission.
Q.395. What is the best initial management of patient with burn on the hand?
Correct Answer : B
Q.396. A patient who got kicked on the chest presented with SOB and tachypnea. CXR shows effusion of the right lung. What is the most appropriate management?
Correct Answer : C
Q.397. A 55-year-old female patient with a history of Stage 2 breast cancer, successfully treated, now presents with moderate to severe pain in her left leg, not relieved by lying down, and worsening with extension of the leg and walking. On examination, there is tenderness in the L3-L4 lower back region. There are no physical signs of cancer recurrence, and the patient was last seen by her oncologist 2 years ago. What is the most appropriate next step?
Correct Answer : C
Q.398. An elderly patient presents with a 2-year history of bone pain, lethargy, fatigue, and a waddling gait. Laboratory results show elevated calcium and phosphorus levels. What is the most likely diagnosis?
Correct Answer : D
Q.399. A middle-aged male patient, known to be an alcoholic, presents with complaints of fullness in the epigastric region, mild pain, nausea, and vomiting. His lab results reveal increased serum amylase levels. What is the most likely diagnosis?
Correct Answer : A
Q.400. What is the most common cause of nipple discharge?
Correct Answer : A
Q.401. A 35-year-old male patient presents with a progressively worsening headache for the past few days. He gives a history of head trauma after being struck by a soft ball while playing 7 days ago. On examination, there are no focal neurological deficits, but the patient reports mild drowsiness and lethargy. What is the most likely diagnosis?
Correct Answer : B
Q.402. A 28-year-old male presents with a long history of symptoms consistent with Ulcerative Colitis (UC). He has been experiencing bloody diarrhea, abdominal cramps, and weight loss. Blood tests show anemia, likely secondary to chronic UC. Sigmoidoscopy reveals multiple polyps, and a biopsy of the polyps confirms carcinoma in situ. What is the most definitive long-term therapy?
Correct Answer : C
Q.403. A 20 year old female patient presented with left arm painful swelling, along with unilateral axillary lymphadenopathy. What is the treatment?
Correct Answer : A
Lymphadenitis
Q.404. A 65 year male patient presented with history of backache and fatigue for the last 3 months. Initial examination shows tenderness in lumbosacral region, and the lab investigations shows Hb=9, ESR= 80, X ray spine showed osteolytic lesion. What is the most likely diagnosis?
Correct Answer : A
Q.405. A 67-years old male patient is admitted in CCU due to myocardial infarction, 2 days after admission he develops severe abdominal pain and bloody diarrhea. What is the probable diagnosis?
Correct Answer : A
Q.406. 80-year old male presented in a clinic with dull aching loin pain & interrupted voiding of urine. BUN and creatinine were increased. Ultrasound kidney revealed a bilateral hydronephrosis. What is the most probable diagnosis?
Correct Answer : C
Q.407. A 40-year-old male presents with intermittent right flank pain radiating to the groin for the past week. He reports no fever or chills but has noticed that the pain worsens after meals. His past medical history is significant for gout and a high-purine diet. On physical examination, the patient has tenderness in the right flank. A plain X-ray of the abdomen does not show any abnormalities. However, non-contrast CT reveals a filling defect in the renal pelvis. Urinalysis shows a pH of 5.0 and microscopic hematuria. What is the most likely cause of the filling defect in this case?
Correct Answer : A
Uric acid stones are radiolucent (unlike other types of stones)
Q.408. A patient presented with renal stones. What is the most specific and sensitive test?
Correct Answer : B
Q.409. A 65-year-old male, a known case of benign prostatic hyperplasia (BPH), presents for a routine follow-up. He reports no new urinary symptoms and states that he has been stable on medication for the past year. On digital rectal examination, the prostate is smooth, symmetrically enlarged, and without nodularity. During the visit, his primary care physician suggests that he undergo prostate-specific antigen (PSA) screening. What is the most appropriate advice to the patient regarding PSA screening?
Correct Answer : B
Shared decision-making is critical for PSA screening, as guidelines differ based on age, comorbidities, and individual risk factors
Q.410. A 30-year old patient presented in clinic with diffuse abdominal pain, diarrhea, bleeding per rectum and temperature 38.3 C, preceded by urinary infection 3 weeks back that was treated with antibiotics. What is the diagnosis?
Correct Answer : C
Pseudomembranous colitis is caused by C. Difficle.
Q.411. An elderly male presents with left lower abdominal pain, fever, and constipation. On imaging, there is evidence of decreased fatty shadows around the distal colon, suggestive of inflammation. What is the most appropriate next step in management?
Correct Answer : A
This case is highly suggestive of acute diverticulitis with localized inflammation
Q.412. A patient is presented with acute cholangitis. What you will do to alleviate the symptoms?
Correct Answer : B
Q.413. A patient came in OPD with complaint of yellowish discoloration of skin. On investigations, WBC=2500 cells/mcL, PLT=70,000/mcL, Hb=7gm/dl, leukocytosis 17%, total bilirubin 51mg/dl and direct bilirubin 12mg/dl. Which of the following test is expected to be positive?
Correct Answer : A
Q.414. An elderly patient presents with abdominal pain, back pain, and a pulsatile abdominal mass on examination. What is the next step to confirm the diagnosis?
Correct Answer : B
Diagnosis- Abdominal aortic aneurysm
Q.415. An elderly patient, known to be a smoker, presents with complaints of rectal bleeding and significant weight loss over the past few weeks. What is the most likely diagnosis?
Correct Answer : A
Q.416. In which of the following condition the breast mass presents with a bloody discharge?
Correct Answer : A
Q.417. A diabetic patient has wound in his leg with poor healing and exudates. No signs of inflammation. The hyperglycemia status of the patient causes poor wound healing by which of the following?
Correct Answer : C
Q.418. Refer to attached picture, what is the best next step for management of this ulcer with raised borders?

Correct Answer : B
Q.419. Which of the following is TRUE for adolescent patients with asymptomatic hernia?
Correct Answer : A
Q.420. What is the most reliable method to confirm correct tube position?
Correct Answer : C
End-tidal carbon dioxide detection is the most accurate technique to evaluate endotracheal tube position.
Q.421. What is the most common complication following hemorrhoidectomy?
Correct Answer : C
Post-operative urinary retention is a common complication, especially in males, after anorectal procedures. Pain management and catheterization may be required if severe.
Q.422. An old man presented to you with a complains of rectal pain that is more intense at night with itching. What is the most probable diagnosis?
Correct Answer : C
Q.423. A patient came in doctor's clinic due to a painful rectal spasm, diaphoresis and tachycardia especially at night. What is the diagnosis?
Correct Answer : B
Q.424. A colorectal carcinoma that invades the submucosa, has two positive lymph nodes and no metastasis. What is the stage of carcinoma?
Correct Answer : C
Q.425. Which of the following is a less serious feature when you aspirate a Breast mass?
Correct Answer : A
Q.426. A 45 year old female came to ER with acutely swollen knee + ballottement of patella. What is the most important thing to do?
Correct Answer : B
Q.427. A young boy presented to the ER with inguinal mass, pain and vomiting. O/E the mass is tender to touch, erythematous skin over scrotum, blue dots in the pole of testis, intact cremasteric reflex. What is the diagnosis?
Correct Answer : D
Q.428. A young patient has sustained poly-trauma injury and was brought to ER. What is the first thing you will do?
Correct Answer : B
Q.429. A Patient with BMI less than 18 presents with multiple episodes of vomiting. Which electrolyte imbalance will you expect?
Correct Answer : A
Q.430. A 70-year-old male patient with a history of benign prostatic hyperplasia (BPH) presents to your clinic. He expresses a desire to undergo a prostate-specific antigen (PSA) test as part of his regular check-up. He is concerned about the possibility of prostate cancer and wants to know if he should go ahead with the test. What is the most appropriate action for this patient regarding the PSA test?
Correct Answer : B
Discuss the risks and benefits of PSA testing with the patient and make an informed decision based on his preferences and health status.
Q.431. Patient has indirect hernia with no complications. What is the treatment of choice?
Correct Answer : A
Q.432. A 30-year-old male presents with a lump on his back that has been present for a long time. The patient reports that the lump has been intermittently discharging a white, malodorous fluid. On examination, the lump is firm, non-tender, and located just under the skin. There is a visible opening at the top of the lump from which the discharge comes. What is the next step in the management of this patient?
Correct Answer : C
Q.433. A man complaining of groin pain after lifting heavy objects and coughing. O/E reducible swelling in the right groin area. What should you advice the patient?
Correct Answer : B
Q.434. What is the treatment of choice for folliculitis after shaving the beard?
Correct Answer : D
May be there was topical antifungal but no topical antibiotic choice.
Q.435. What is non-medical treatment for premature ejaculation?
Correct Answer : A
Q.436. A 50-year-old male presented in OPD clinic with a complaint of mild hoarseness that has been ongoing for several weeks. Upon physical examination, a mid-cervical mass is noted. The patient has no significant history of smoking or thyroid disease. What is the best investigation to perform next in this patient?
Correct Answer : C
Q.437. How long does a wound stay in the early inflammatory phase?
Correct Answer : C
Q.438. A 20-year-old man involved in RTA was brought to an ER by his friends. On examination, he was found to be conscious but drowsy. His HR is 120/min, R/R= 18/min, BP 80/40mmHg. What is the MOST urgent initial management?
Correct Answer : C
He has Hypotension so BP must be corrected after securing airway.
Q.439. A middle aged female patient was brought in ER with complaint of right upper quadrant abdominal pain and tenderness, high-grade fever, and jaundice. Lab investigations showed leukocytosis and normal hepatic markers. What is the probable diagnosis?
Correct Answer : A
The patient presented with Charcot triad, RUQ pain, jaundice, and fever, which is suggestive of cholangitis.
Q.440. Which is the best view to see the rib fracture?
Correct Answer : C
Q.441. A 65-year-old diabetic male presents with a non-healing ulcer on his foot. The ulcer has been present for over 3 weeks and, despite appropriate wound care, has not shown signs of healing. There is no infection present, and the ulcer is not improving. The patient reports no pain but has a long history of poor blood sugar control. On examination, there is reduced sensation in the affected foot, and pulses are weak in the lower extremities. What is the most likely reason for the non-healing ulcer?
Correct Answer : D
Multi factor- best option would be decreased immunity. In an individual with diabetic neuropathy, a trivial infection in a toe may be the first event in a long succession of complications (gangrene, bacteremia, pneumonia) that ultimately leads to death. The basis of enhanced susceptibility is multifactorial and includes decreased neutrophil function (chemotaxis, adherence to the endothelium, phagocytosis, and microbicidal activity) and impaired cytokine production by macrophages. The vascular compromise also impairs the delivery of immune cells and molecules to sites of infection.